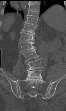
Hoewel Adolescenten Idiopathische Scoliose (AIS), de vorm die vooral optreedt bij verder kerngezonde meisjes in de puberteit, nog altijd de meest voorkomende soort scoliose is, komt scoliose op de volwassen leeftijd steeds meer voor, en veroorzaakt vaak heftige klachten (Figuur 1). Deze vorm wordt vaak ‘degeneratieve scoliose’ of in het Engels ‘Adult SpinalDeformity (ASD)’ genoemd, en doet zich vooral voor in het onderste deel van de wervelkolom, de lenden wervelkolom (lumbale wervelkolom, lwk).

Het kan hierbij gaan om een afwijking die al in de kinderjaren is ontstaan en pas op latere leeftijd wordt ontdekt en klachten geeft, maar ook komt het voor dat de wervelkolom rond de leeftijd van 50-60 jaar min of meer spontaan een nieuwe, ook wel genoemd ‘de novo’ scoliose ontwikkelt. In feite is het ontstaan daarvan net zo’n mysterie als de scoliose die zich ontwikkelt in de puberteit, en wij hebben, samen met enkele vooraanstaande internationale wetenschappers, gesuggereerd dat deze ‘de novo’ scoliose feitelijk het laatste stadium is van het hele spectrum van idiopathische scoliose.1 Idiopathische scoliose zou dan vooral kunnen ontstaan tijdens twee momenten in het leven, de puberteit, en de ‘oude dag’, waarna ook weer een langere periode van stabiliteit kan optreden. Interessant is dat deze beide periodes, de puberteit en de ‘oudere’ leeftijd, zich kenmerken door grote veranderingen in de belasting en de belastbaarheid van het lichaam. Voor de stabiliteit van de wervelkolom, en daarmee van het hele lichaam, is de tussenwervelschijf (Figuur 2) een buitengewoon belangrijke structuur.

In de puberteit wordt het lichaamsgewicht en de lichaamslengte in korte tijd ‘volwassen’, om dit goed te kunnen dragen moeten de tussenwervelschijven in hetzelfde tempo volwassen worden. Veel van ons onderzoek naar de oorzaak van scoliose richt zich nu op de tussenwervelschijf, wij hebben de indruk dat scoliose de kans krijgt zich te ontwikkelen als deze twee rijpingsprocessen niet 100% synchroon verlopen. Met andere woorden, de tussenwervelschijf, die de wervelkolom moet stabiliseren, is nog niet volwassen genoeg om de zwaardere, inmiddels wel volwassen, romp te kunnen dragen, waardoor de wervelkolom tijdelijk ‘instabiel’ wordt.2 Zodra belasting en belastbaarheid weer in harmonie zijn, zal scoliose zich niet meer kunnen ontwikkelen, of niet erg meer toenemen. Wij kennen een dergelijke verstoring van de balans tussen belastbaarheid en belasting ook rond de knie als de aandoening van Osgood Schlatter, waarbij de kracht van de bovenbeenspieren in de puberteit snel toeneemt, terwijl de aanhechting van de kniepees op het onderbeen nog ‘onrijp’ is, en daardoor klachten kan veroorzaken. Een dergelijk proces komt dus vaker en ook elders in het lichaam voor.
Op oudere leeftijd treden er opnieuw veranderingen op in de verhouding tussen belasting en belastbaarheid, de tussenwervelschijven degenereren als onderdeel van de normale veroudering, en daardoor kan opnieuw de stabiliteit van de rug in het geding komen.3
Natuurlijk spelen ook andere factoren hierin een rol, zoals spierkracht, botkwaliteit en algemene conditie, en deze factoren zijn gelukkig tot op zekere hoogte met training en eventuele medicijnen, te beïnvloeden.
Hoewel we inmiddels weten dat ook de adolescenten scoliose pijnklachten kan veroorzaken, geldt dat des te meer voor de scoliose op volwassen leeftijd. De pijn kan zich aanvankelijk presenteren als de veel voorkomende lage rugpijn, zeurend, vaak redelijk goed reagerend op pijnstillers als Paracetamol of Ibuprofen, Diclofenac en nog vele andere medicijnen die ‘niet-steroïde anti-inflammatoire geneesmiddelen’ (NSAID’s) worden genoemd. Met NSAID’s moet men voorzichtig zijn wegens (o.a.) het risico op maagbeschadiging, vaak is het verstandig hierbij een maag beschermend medicijn in te nemen. Ook kan de bloedstolling door deze medicijnen worden beïnvloed, wat van belang is in geval van een eventuele operatie. Dan moet altijd worden overlegd hoe lang tevoren het raadzaam is hiermee te stoppen, dit geldt niet voor Paracetamol. De pijn is vaak afhankelijk van de houding, gaan liggen werkt in veel gevallen verlichtend, terwijl zitten nog wel eens de pijn flink doet toenemen. Vaak zijn afwisselende bezigheden waarbij de rug niet te zwaar wordt belast (pas op met stofzuigen!) het beste.
Naarmate de wervelkolom meer vervormd raakt en de scoliose toeneemt, kunnen zenuwen, die vanuit de onderrug naar de benen verlopen, geïrriteerd raken en uitstralende pijn naar één of beide benen veroorzaken. Uitstraling in het bovenbeen, tot aan de knie, is niet per se een teken van een beknelde zenuw, maar felle pijn tot in de kuit, de hiel, de voetrand, de grote of kleine teen, zeker met daarbij tintelingen, past bij een prikkeling van een of meer van de onderste zenuwen die vanuit de rug naar de benen verlopen (L5 of S1). Nog vaker treedt er in rust geen uitstraling op, maar komt de pijn in de kuiten opzetten als men gaat lopen. Kleine afstanden kunnen dan al onmogelijk worden, gaan zitten of vooroverbukken verlicht vaak de pijn vrij acuut, waarna de pijn terugkomt zodra het lopen wordt hervat. Dit wordt ‘neurogene claudicatio’ genoemd en wordt veroorzaakt doordat juist met het lopen de ruimte voor de onderste zenuwen in de rug te krap wordt, waardoor deze zenuwen pijnlijke signalen gaan afgeven die worden gevoeld in het onderbeen. Het spreekt voor zich dat dergelijke klachten een grote beperking vormen voor het dagelijks functioneren.
De diagnostiek van een scoliose op latere leeftijd begint met het verhaal van de patiënt, ook wel de ‘anamnese’ genaamd. Dit geldt zeer zeker voor neurogene claudicatio, wat een diagnose is die zonder goede anamnese vrijwel niet te stellen is. Een ander voorbeeld is een inzakkingsfractuur door bot ontkalking (osteoporose), hierbij is de pijn meestal zeer plotseling ontstaan en heeft de patiënt soms een knak in de rug gevoeld. Ook moet in de anamnese een indruk worden verkregen van de verdere, meer algemene gezondheid. Is er sprake van diabetes (kan ook zenuwpijn veroorzaken), van problemen met de bloedvaten (kan ook pijn in de kuiten en de voeten veroorzaken bij lopen), is er een kwaadaardige ziekte in het verleden doorgemaakt, moet er zwaar werk worden verricht of bijvoorbeeld een familielid worden ondersteund, en dergelijke.
Vervolgens moet bij het lichamelijk onderzoek opnieuw een indruk worden verkregen van de algemene vitaliteit en gezondheid van de betrokkene, er moet worden gekeken naar de functie van de rug, de aard, intensiteit en plaats van de pijn, en of er aanwijzingen zijn voor permanent beklemde zenuwen. Bij neurogene claudicatio zal dat dus in het algemeen NIET het geval zijn, deze zenuwen raken pas geïrriteerd en geven pijnsignalen af bij het lopen. Daarnaast moet worden gekeken naar de functie van de heupen, de knieën en de bloedvaten in de benen. Hiermee is in het algemeen al een belangrijk deel van de diagnose duidelijk geworden, het nog volgende onderzoek is vooral een aanvulling op het inmiddels verkregen plaatje. Hoe gerichter de vraagstelling is bij het maken van foto’s en eventuele scans, hoe meer kans dat deze ook belangrijke aanvullende informatie opleveren. Vaak zal behoefte bestaan aan röntgenfoto’s van de gehele rug, eventueel de heupen en de knieën, en in sommige gevallen een MRI-scan of CT-scan van de onderrug.
De behandeling van een degeneratieve scoliose begint altijd met niet-operatieve maatregelen. Als bot ontkalking in het spel is moet hierop, in overleg met de huisarts, actie worden ondernomen. In het verdere traject is vrijwel altijd de medewerking van de patiënt van het allergrootste belang. Soms is afvallen noodzakelijk, vaak zal er met de fysiotherapeut/Schroth therapeut hard getraind moeten worden om de stabiliteit van de rug en de romp te verbeteren. Over de rol van een korset ter ondersteuning van de romp bestaat veel verschil van inzicht, in ieder geval is een korset behandeling veeleisend, oncomfortabel, en bestaat het risico van verdere achteruitgang van de spier conditie. Toch kunnen sommige mensen van een korset veel plezier hebben, het zal dan meestal slechts een beperkt aantal uren per dag (of alleen ‘s nachts!) moeten worden gedragen. Het is daarnaast van groot belang om te weten dat de fase van instabiliteit, waarin de klachten zeer heftig kunnen zijn, in de meeste gevallen weer over gaat, waarna de rug vaak wel stijver, maar veel minder pijnlijk kan zijn geworden. Echter, als een degeneratieve scoliose toeneemt, kan dit de kwaliteit van leven zeer ernstig bedreigen, en zijn soms uitgebreide operatieve behandelingen noodzakelijk (Figuur 3).4

Hoewel de risico’s van dergelijke ingrepen vrij groot zijn, en het herstel langdurig, kan hiermee uiteindelijk wel een verbetering in het functioneren in het dagelijks leven worden verkregen. Vanzelfsprekend moet in een gesprek met de operateur de voor- maar zeker ook de nadelen van een dergelijke grote operatie worden besproken.
In het algemeen geldt dat het van belang is om, met het vorderen der jaren, zo veel mogelijk te proberen de algemene lichamelijke conditie en de spierkracht op peil te houden door balans oefeningen, spierkracht training en core stability oefeningen, maar ook door wandelen, fietsen, roeien en dergelijke.
Literatuur:
Het Scoliose Handboek is geschreven voor patiënten en professionals.